Best Periodontist in Delhi for Gum Disease Treatment
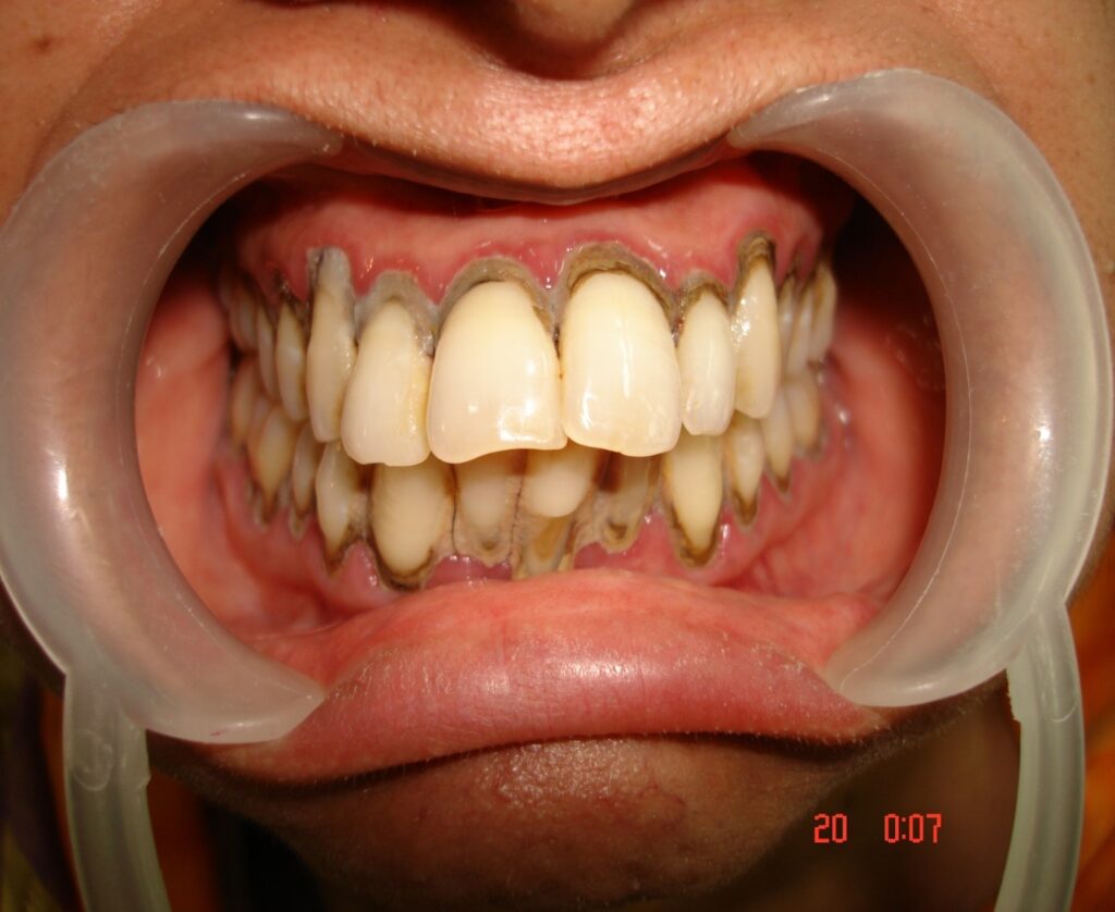
Pyorrhoea is any kind of gum disease in which the ligaments and bone that supports the teeth become inflamed and infected. Bone loss from pyorrhoea is the primary cause of tooth loss in adults. The onset is marked by bleeding of the gums, pus discharge, loosening of teeth. The main aim of the treatment is to control the infection and if possible stop it. The first step is to implement a good oral hygiene program, professional teeth cleaning from your dentist every 6 months. Your dentist may even recommend deep cleaning, gum survey or bone graft depending upon the condition of the teeth and gums.
SmritiRaj Dentistry is an ISO Certified & NABH Accredited Dental Clinic in Delhi. We maintain stringent international standards in sterilization, hygiene, quality care, and practice management with complete patient satisfaction.